
앞니는 얼굴에서 가장 눈에 띄는 부위 중 하나로,
미소를 지을 때 가장 중요한 역할을 합니다.
특히 앞니가 벌어지거나 간격이 넓어진 상태는
외모에 직접적인 영향을 미칠 뿐만 아니라.
사람에 따라 자신감에 큰 영향을 줄 수 있습니다.
이러한 문제는 단순히 치아의 배열이
틀어지는 것 이상의 의미를 가지며,
대인 관계에서도 자신감 저하로 이어질 수 있습니다.
따라서 앞니의 벌어짐 문제를 해결하려면
심미적인 측면을 고려한 심미치료가 필수적입니다.
그러나 환자분들의 경우 앞니 치료에 대한
부담이 있을 수 있습니다.
외부적으로 노출이 많기 때문에
신중한 선택이 필요하기 때문인데요.
이를 위해서는 3D 구강스캐너를 통해
명확한 구강 상태를 확인한 다음
미리 치료 결과를 시뮬레이션 한 다음
치료를 진행해 볼 수 있습니다.
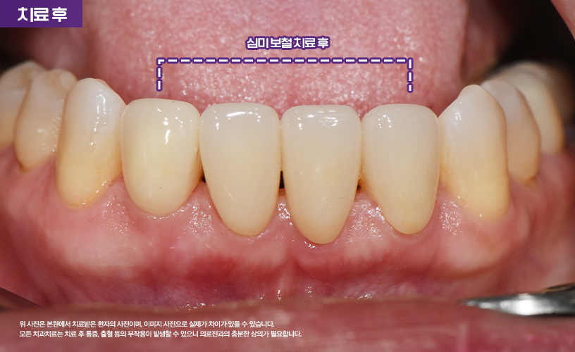
"앞니 벌어짐 3D 구강스캐너를 이용한 심미보철 치료 사례"



상기 환자분은 아랫니 치아의 공간이 매우 넓어
심미적인 스트레스로 인해 본 원에 내원하셨습니다.
앞니 사이가 벌어진 경우에는 다양한 치료
방법이 있는데 환자분께서는 레진이나 보철치료를
고려하고 오셨습니다.
환자분의 경우 앞니 사이가 많이 벌어진 상태이기
때문에 레진 치료는 어려운 상태라서
보철 치료를 고려해 볼 수 있습니다.

그러나 환자분께서 심미적으로 고민이 많으셨기 때문에
시술 전 구강스캐너를 통해 구강을 스캔한 다음
시뮬레이션을 하여 보철 후 상태를
미리 환자분께 보여 드리고 치료가 진행되었습니다.



환자분께서는 3D 구강스캐너를 통해
미리 시뮬레이션 하여 구강 상태를 확인한 다음
치료가 진행되었기 때문에 치료에 대한
확신을 가지고 치료하실 수 있었습니다.

3D 구강스캐너는 치아 진단 및 치료 과정에서
혁심적인 기술로 자리 잡고 있습니다.
과거 치과 치료, 특히 보철 치료나
임플란트 치료를 위해서는 치아 모양을
본뜬 인상재를 사용해 치아 모형을 만들고,
이를 바탕으로 맞춤형 치료 계획을
세우는 과정이 필요했습니다.
이 과정에서 환자는 인상재를 입에 넣고
기다리는 불편함을 겪어야 했고,
치료의 정확도나 편의성에서
일정한 한계가 있었습니다.
하지만 3D 구강스캐너는 이러한 불편함을
해결하는 데 중요한 역할을 합니다.
이 스캐너는 치아와 구강 내부의 상태를
보다 빠르고 정밀하게 3D 형태로 스캔하여,
기존의 인상채를 사용하는 방식보다
훨씬 더 정확한 정보를 제공할 수 있습니다.
또한 스캔된 데이터를 실시간으로 디지털화되어
즉시 저장되므로 환자는 긴 대기시간 없이
빠르게 진료를 받아 보실 수 있습니다.

3D 구강스캐너는 단순한 진단 도구를 넘어서,
환자분들에게 보다 효율적이고 정확한 치료를
예측하고 시뮬레이션할 수 있습니다.
구강 구조를 정밀하게 스캔하여 실시간으로
디지털 데이터로 전환하고, 이를 바탕으로
치료가 어떻게 이루어질지를 미리 예측할 수 있습니다.
이를 통해 환자와 의료진은 치료 전 단계에서
예상 결과를 시각적으로 확인하고,
치료 계획을 세울 때 더욱 신뢰성 있는
결정을 내릴 수 있게 됩니다.
때문에 보철치료나 임플란트 치료 또는
교정치료 시 3D 구강스캐너를 통해
구강 내 상태를 정밀하게 측정하고,
이를 바탕으로 보철물이나 임플란트의 위치, 크기,
모양 등을 미리 시뮬레이션하여
치료 결과를 도출할 수 있게 됩니다.

심미치료를 고려하고 계시다면
무엇보다 중요한 것은 치료 계획을
미리 예측한 다음 치료가 진행되어야 합니다.
만일 심미적인 부분을 고려하지 않고
치료가 진행된다면 환자분의 치료가
실패로 이어질 수 있기 때문입니다.
따라서 심미적인 치료는 디자인을
미리 해볼 수 있기 때문에 환자분이 확신을 가지고
치료를 받아 보실 수 있습니다.
큰뿌리치과는 치료 전 정확한 검진과
꼼꼼한 상담을 통해 환자 개인의 상태에 맞춘
알맞은 치료를 진행합니다.

앞니는 얼굴에서 가장 눈에 띄는 부위 중 하나로,
미소를 지을 때 가장 중요한 역할을 합니다.
특히 앞니가 벌어지거나 간격이 넓어진 상태는
외모에 직접적인 영향을 미칠 뿐만 아니라.
사람에 따라 자신감에 큰 영향을 줄 수 있습니다.
이러한 문제는 단순히 치아의 배열이
틀어지는 것 이상의 의미를 가지며,
대인 관계에서도 자신감 저하로 이어질 수 있습니다.
따라서 앞니의 벌어짐 문제를 해결하려면
심미적인 측면을 고려한 심미치료가 필수적입니다.
그러나 환자분들의 경우 앞니 치료에 대한
부담이 있을 수 있습니다.
외부적으로 노출이 많기 때문에
신중한 선택이 필요하기 때문인데요.
이를 위해서는 3D 구강스캐너를 통해
명확한 구강 상태를 확인한 다음
미리 치료 결과를 시뮬레이션 한 다음
치료를 진행해 볼 수 있습니다.
"앞니 벌어짐 3D 구강스캐너를 이용한 심미보철 치료 사례"
상기 환자분은 아랫니 치아의 공간이 매우 넓어
심미적인 스트레스로 인해 본 원에 내원하셨습니다.
앞니 사이가 벌어진 경우에는 다양한 치료
방법이 있는데 환자분께서는 레진이나 보철치료를
고려하고 오셨습니다.
환자분의 경우 앞니 사이가 많이 벌어진 상태이기
때문에 레진 치료는 어려운 상태라서
보철 치료를 고려해 볼 수 있습니다.
그러나 환자분께서 심미적으로 고민이 많으셨기 때문에
시술 전 구강스캐너를 통해 구강을 스캔한 다음
시뮬레이션을 하여 보철 후 상태를
미리 환자분께 보여 드리고 치료가 진행되었습니다.
환자분께서는 3D 구강스캐너를 통해
미리 시뮬레이션 하여 구강 상태를 확인한 다음
치료가 진행되었기 때문에 치료에 대한
확신을 가지고 치료하실 수 있었습니다.
3D 구강스캐너는 치아 진단 및 치료 과정에서
혁심적인 기술로 자리 잡고 있습니다.
과거 치과 치료, 특히 보철 치료나
임플란트 치료를 위해서는 치아 모양을
본뜬 인상재를 사용해 치아 모형을 만들고,
이를 바탕으로 맞춤형 치료 계획을
세우는 과정이 필요했습니다.
이 과정에서 환자는 인상재를 입에 넣고
기다리는 불편함을 겪어야 했고,
치료의 정확도나 편의성에서
일정한 한계가 있었습니다.
하지만 3D 구강스캐너는 이러한 불편함을
해결하는 데 중요한 역할을 합니다.
이 스캐너는 치아와 구강 내부의 상태를
보다 빠르고 정밀하게 3D 형태로 스캔하여,
기존의 인상채를 사용하는 방식보다
훨씬 더 정확한 정보를 제공할 수 있습니다.
또한 스캔된 데이터를 실시간으로 디지털화되어
즉시 저장되므로 환자는 긴 대기시간 없이
빠르게 진료를 받아 보실 수 있습니다.
3D 구강스캐너는 단순한 진단 도구를 넘어서,
환자분들에게 보다 효율적이고 정확한 치료를
예측하고 시뮬레이션할 수 있습니다.
구강 구조를 정밀하게 스캔하여 실시간으로
디지털 데이터로 전환하고, 이를 바탕으로
치료가 어떻게 이루어질지를 미리 예측할 수 있습니다.
이를 통해 환자와 의료진은 치료 전 단계에서
예상 결과를 시각적으로 확인하고,
치료 계획을 세울 때 더욱 신뢰성 있는
결정을 내릴 수 있게 됩니다.
때문에 보철치료나 임플란트 치료 또는
교정치료 시 3D 구강스캐너를 통해
구강 내 상태를 정밀하게 측정하고,
이를 바탕으로 보철물이나 임플란트의 위치, 크기,
모양 등을 미리 시뮬레이션하여
치료 결과를 도출할 수 있게 됩니다.
심미치료를 고려하고 계시다면
무엇보다 중요한 것은 치료 계획을
미리 예측한 다음 치료가 진행되어야 합니다.
만일 심미적인 부분을 고려하지 않고
치료가 진행된다면 환자분의 치료가
실패로 이어질 수 있기 때문입니다.
따라서 심미적인 치료는 디자인을
미리 해볼 수 있기 때문에 환자분이 확신을 가지고
치료를 받아 보실 수 있습니다.
큰뿌리치과는 치료 전 정확한 검진과
꼼꼼한 상담을 통해 환자 개인의 상태에 맞춘
알맞은 치료를 진행합니다.