
앞니가 벌어지는 현상은 많은 사람들이
경험하는 치아 문제 중 하나로,
단순히 미적 측면에서만 문제가 될 뿐만 아니라
장기적으로는 구강 건강에도 심각한 영향을
미칠 수 있는 원인이 됩니다.
특히 앞니는 우리가 자주 사용하는 치아이자,
사회적 상호작용에서 중요한 역할을 하는
부위이기 때문에, 이 부위에 문제가 생기면
미소에 대한 자신감이 떨어질 뿐만 아니라
씹기나 말하기 등의 기능적 문제까지 발생합니다.
이를 만일 방치하게 된다면 앞니 사이에
음식물이 끼기 쉽고 이로 인해 각종 구강질환이
발생할 가능성이 있으며 교합이 불균형하게 되면서
턱이나 얼굴 근육에 무리가 가해질 수 있습니다.
때문에 빠른 시일 내에 치료 방법을
모색하는 것이 매우 중요합니다,
치료 방법은 다양하지만 최근에는
투명교정을 통해 앞니 벌어짐을 해결하고 있습니다.

투명교정은 기존의 금속 교정장치에 비해
많은 장점을 가진 교정 방법으로
최근 많은 사람들이 선호하고 있는 교정 치료입니다.
이 교정 방식은 투명한 플라스틱 재질의
맞춤형 교정 장치를 사용하여 치아를 이동시키는
방식으로, 미용적 효과와 편리함을 동시에 제공합니다.
또한 투명교정 장치는 다른 교정 방식에 비해
눈에 띄지 않으며, 외출 시나 일상생활에서
교정 중이라는 사실을 쉽게 드러내지 않기 때문에
사회적 활동에 큰 제약을 주지 않습니다.
때문에 평소 치아의 배열을 고르게 하고자 하는
사람들에게 매우 적합한 치료 방법이며,
이를 통해 더 나은 외모와 함께 건강한 치아를
가질 수 있게 됩니다.

투명교정 편리하고 미용적으로 우수한
선택지로 인식되고 있으나
모든 경우에 적용될 수 있는 치료 방법은 아닙니다.
개개인의 구강 구조와 치아 상태에 따라
적합하지 않은 경우도 존재하는데요.
따라서 투명교정을 고려할 때는
환자의 구강 상태를 면밀히 검사하고,
그에 맞는 치료 방법을 선택하는 것이 중요합니다.
투명교정은 보다 효과적인 교정 치료 방법이지만,
특정한 치아 문제나 구강 구조에서는
한계가 있을 수 있기 때문에,
의료진과 충분한 상담을 통해 정확한 진단을 받고
치료 계획을 세우는 것이 필수적입니다.

투명교정을 진행하시게 되면 몇 가지
중요한 주의사항을 철저히 지켜야 합니다.
올바른 관리 없이 투명교정을 진행하면
교정의 효과가 미비할 수 있으며,
치아 건강에도 영향을 미칠 수 있습니다.
따라서 투명교정 장치를 사용할 때는
일정한 관리가 필요하고, 치료 중의 주의사항을
잘 숙지하는 것도 중요합니다.
먼저 투명교정 장치는 식사나 음료를
섭취할 때 제거해야 합니다.
음식을 섭취하면 교정 장치에 음식물이 끼거나
장치가 손상될 수 있기 때문입니다.
또한 교정 장치를 착용한 상태에서 음식을 섭취하면
치아나 장치의 변형을 유발할 수 있기 때문에
식사 후에는 반드시 장치를 깨끗이 세척한 후
다시 착용하시길 바랍니다.
그 다음으로는 투명교정 장치는 고온에 민감하고
뜨거운 음식이나 음료를 섭취할 경우 장치가
변형이 될 수 있어 주의해야 합니다.
또한 투명교정 장치는 착용하지 않을 때
전용 케이스에 보관해야 하며
일정 시간마다 세척이 필요합니다.
마지막으로 교정 장치는 하루 20시간 이상
착용하는 것이 필요하므로 장치를 자주 빼거나
착용 시간을 줄이면 교정의 효과가 제대로
나타나지 않을 수 있으니 주의사항을
철저하게 지키 주시길 바랍니다.
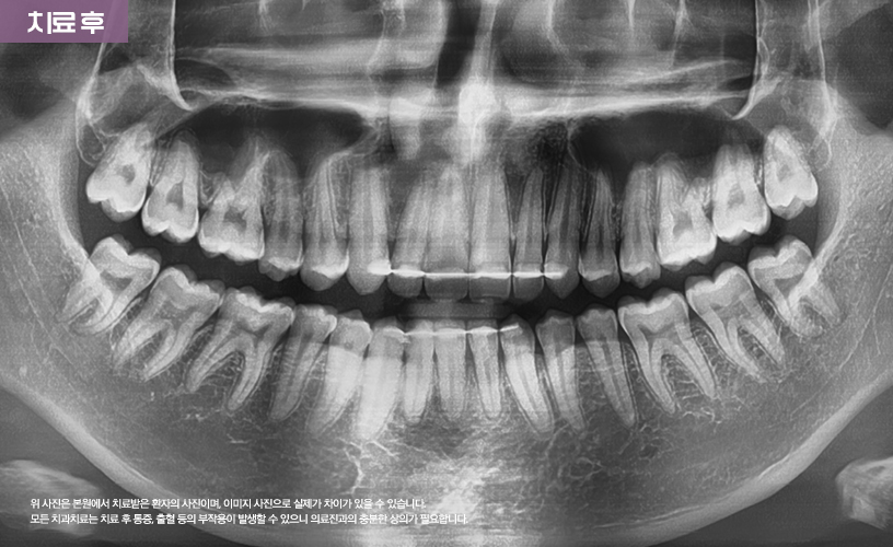
"투명교정 치료 사례"



상기 환자분은 상, 하악 앞니 벌어짐으로 인해
교정 치료를 고민하시다가 본 원에 내원하셨습니다.
본 원에서는 정밀한 검진을 통해 환자분의
앞니 벌어짐 상태를 점검한 다음
기존 일반적인 교정 치료 방식이 아닌
시스루 얼라이너 투명교정 치료가 수립되었습니다.



투명장치를 착용하여 치료가 진행되어
환자분의 일상생활에도 큰 지장을 주지 않으면서도
교정치료가 진행되기 때문에 환자분 역시
매우 만족해하셨습니다.
단, 투명교정의 경우 섬세하고 정교한 기술이
요구되는 치료 방법이기 때문에
반드시 철저한 검진과 함께 의료진의 안내에 따라
잘 따라주시는 것도 중요하겠습니다.

본 원에서는 교정 치료 시 디지털 구강 스캐너와
3D 프린터를 활용하여 치료가 진행됩니다.
또한 투명한 강화 플라스틱으로 맞춤 제작되므로
다른 교정장치에 비해 티가 잘나지 않아
교정치료가 필요한데 심미성까지 챙기고 싶다면
투명교정을 고려해 보시길 바랍니다.
본 원은 통합치의학과 전문의인
대표 원장님께서 치료를 진행하고 있습니다.

앞니가 벌어지는 현상은 많은 사람들이
경험하는 치아 문제 중 하나로,
단순히 미적 측면에서만 문제가 될 뿐만 아니라
장기적으로는 구강 건강에도 심각한 영향을
미칠 수 있는 원인이 됩니다.
특히 앞니는 우리가 자주 사용하는 치아이자,
사회적 상호작용에서 중요한 역할을 하는
부위이기 때문에, 이 부위에 문제가 생기면
미소에 대한 자신감이 떨어질 뿐만 아니라
씹기나 말하기 등의 기능적 문제까지 발생합니다.
이를 만일 방치하게 된다면 앞니 사이에
음식물이 끼기 쉽고 이로 인해 각종 구강질환이
발생할 가능성이 있으며 교합이 불균형하게 되면서
턱이나 얼굴 근육에 무리가 가해질 수 있습니다.
때문에 빠른 시일 내에 치료 방법을
모색하는 것이 매우 중요합니다,
치료 방법은 다양하지만 최근에는
투명교정을 통해 앞니 벌어짐을 해결하고 있습니다.
투명교정은 기존의 금속 교정장치에 비해
많은 장점을 가진 교정 방법으로
최근 많은 사람들이 선호하고 있는 교정 치료입니다.
이 교정 방식은 투명한 플라스틱 재질의
맞춤형 교정 장치를 사용하여 치아를 이동시키는
방식으로, 미용적 효과와 편리함을 동시에 제공합니다.
또한 투명교정 장치는 다른 교정 방식에 비해
눈에 띄지 않으며, 외출 시나 일상생활에서
교정 중이라는 사실을 쉽게 드러내지 않기 때문에
사회적 활동에 큰 제약을 주지 않습니다.
때문에 평소 치아의 배열을 고르게 하고자 하는
사람들에게 매우 적합한 치료 방법이며,
이를 통해 더 나은 외모와 함께 건강한 치아를
가질 수 있게 됩니다.
투명교정 편리하고 미용적으로 우수한
선택지로 인식되고 있으나
모든 경우에 적용될 수 있는 치료 방법은 아닙니다.
개개인의 구강 구조와 치아 상태에 따라
적합하지 않은 경우도 존재하는데요.
따라서 투명교정을 고려할 때는
환자의 구강 상태를 면밀히 검사하고,
그에 맞는 치료 방법을 선택하는 것이 중요합니다.
투명교정은 보다 효과적인 교정 치료 방법이지만,
특정한 치아 문제나 구강 구조에서는
한계가 있을 수 있기 때문에,
의료진과 충분한 상담을 통해 정확한 진단을 받고
치료 계획을 세우는 것이 필수적입니다.
투명교정을 진행하시게 되면 몇 가지
중요한 주의사항을 철저히 지켜야 합니다.
올바른 관리 없이 투명교정을 진행하면
교정의 효과가 미비할 수 있으며,
치아 건강에도 영향을 미칠 수 있습니다.
따라서 투명교정 장치를 사용할 때는
일정한 관리가 필요하고, 치료 중의 주의사항을
잘 숙지하는 것도 중요합니다.
먼저 투명교정 장치는 식사나 음료를
섭취할 때 제거해야 합니다.
음식을 섭취하면 교정 장치에 음식물이 끼거나
장치가 손상될 수 있기 때문입니다.
또한 교정 장치를 착용한 상태에서 음식을 섭취하면
치아나 장치의 변형을 유발할 수 있기 때문에
식사 후에는 반드시 장치를 깨끗이 세척한 후
다시 착용하시길 바랍니다.
그 다음으로는 투명교정 장치는 고온에 민감하고
뜨거운 음식이나 음료를 섭취할 경우 장치가
변형이 될 수 있어 주의해야 합니다.
또한 투명교정 장치는 착용하지 않을 때
전용 케이스에 보관해야 하며
일정 시간마다 세척이 필요합니다.
마지막으로 교정 장치는 하루 20시간 이상
착용하는 것이 필요하므로 장치를 자주 빼거나
착용 시간을 줄이면 교정의 효과가 제대로
나타나지 않을 수 있으니 주의사항을
철저하게 지키 주시길 바랍니다.
"투명교정 치료 사례"
상기 환자분은 상, 하악 앞니 벌어짐으로 인해
교정 치료를 고민하시다가 본 원에 내원하셨습니다.
본 원에서는 정밀한 검진을 통해 환자분의
앞니 벌어짐 상태를 점검한 다음
기존 일반적인 교정 치료 방식이 아닌
시스루 얼라이너 투명교정 치료가 수립되었습니다.
투명장치를 착용하여 치료가 진행되어
환자분의 일상생활에도 큰 지장을 주지 않으면서도
교정치료가 진행되기 때문에 환자분 역시
매우 만족해하셨습니다.
단, 투명교정의 경우 섬세하고 정교한 기술이
요구되는 치료 방법이기 때문에
반드시 철저한 검진과 함께 의료진의 안내에 따라
잘 따라주시는 것도 중요하겠습니다.
본 원에서는 교정 치료 시 디지털 구강 스캐너와
3D 프린터를 활용하여 치료가 진행됩니다.
또한 투명한 강화 플라스틱으로 맞춤 제작되므로
다른 교정장치에 비해 티가 잘나지 않아
교정치료가 필요한데 심미성까지 챙기고 싶다면
투명교정을 고려해 보시길 바랍니다.
본 원은 통합치의학과 전문의인
대표 원장님께서 치료를 진행하고 있습니다.